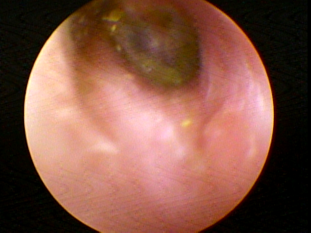
Tai được chia làm ba phần bao gồm tai ngoài, tai giữa và tai trong ...
Các Bác sỹ Hoa kỳ khuyến cáo về việc rửa tay thường xuyên trong ngày bằng xà phòng, nhất là ở những thời điểm dễ dơ tay ...
Thứ 2 đến Thứ 6 : 17h - 20h
Thứ 7 - Chủ nhật :
Sáng : 9h - 11h15
Chiều : 15h - 20h
Để đặt lịch khám hoặc thông báo về tác dụng phụ của thuốc:
Từ 7h30-22h hàng ngày : 0383309896
Từ 17h-20h hàng ngày: (024)22402270
Để nghe tư vấn về các bệnh lý Tai Mũi Họng và phương pháp điều trị
PGS.TS.BS Phạm Trần Anh : 0913526370 - 0988362616
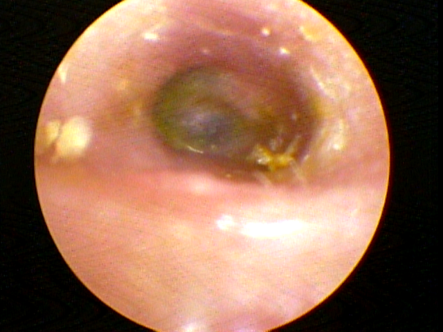
Tai được chia làm ba phần bao gồm tai ngoài, tai giữa và tai trong ...
Các Bác sỹ Hoa kỳ khuyến cáo về việc rửa tay thường xuyên trong ngày bằng xà phòng, nhất là ở những thời điểm dễ dơ tay ...
Thứ 2 đến Thứ 6 : 17h - 20h
Thứ 7 - Chủ nhật :
Sáng : 9h - 11h15
Chiều : 15h - 20h
0383309896 - (024)22402270
Tai được chia làm ba phần bao gồm tai ngoài, tai giữa và tai trong ...
Videos
Nội soi tai mũi họng cho bệnh nhân
Chuyên đề về Tai
Chuyên đề về Mũi -Xoang
Chuyên đề về Họng-Thanh quản
Videos
Đặt OTK cho bệnh nhân